LOWER AND UPPER FULL DENTURE STABILIZATION PROCEDURE SECRETS REVEALED
80 YEAR OLD GENTLEMAN
VERY LOOSE LOWER DENTURES
MARKED WITH INDELIBLE PENCIL
REVERSED MARKS ON DENTURE
TREPHINING A THROUGH HOLE
USE A 4mm DIAMETER TREPHINE
YES, IT IS THE SAME ONE WE USE FOR CUTTING A PRECISE HOLE IN BONE
A 1.3mm DIAMETER PARALLEL DRILL
FULL DEPTH
IN THIS CASE TO A DEPTH OF 10-15 mm SINCE THE MOSTDI THREADED LENGTH IS 10mm
FULL DEPTH
IN THIS CASE TO A DEPTH OF 10-15 mm SINCE THE MOSTDI THREADED LENGTH IS 10mm
A 2.1 mm DIAMETER DRILL
JUST ABOUT 5 mm DEPTH IS ENOUGH TO GO THROUGH THE CORTICAL PLATE
JUST ABOUT 5 mm DEPTH IS ENOUGH TO GO THROUGH THE CORTICAL PLATE
A MOSTDI
INITIAL PURCHASE INTO THE CORTICAL PLATE
CONTINUE WITH A DRIVER AND RACHET WRENCH
STOP AS SOON AS THE DRIVER REACHES THE GUM
THE COLLAR OF THE IMPLANT SHOULD BE ABOVE GUM ABOUT 0.5mm to 1.0mm
THIS IS TO FACILITATE CAPTURE OF THE DAD aka ORING AND HOUSING
WITHIN THE DETNTURE
THE MOSTDI IS NOW AT THE CORRECT DEPTH OF INSERTION TO RECEIVE THE DAD
AKA DENTURE ANCHORAGE DEVICE
STOP AS SOON AS THE DRIVER REACHES THE GUM
THE COLLAR OF THE IMPLANT SHOULD BE ABOVE GUM ABOUT 0.5mm to 1.0mm
THIS IS TO FACILITATE CAPTURE OF THE DAD aka ORING AND HOUSING
WITHIN THE DETNTURE
THE MOSTDI IS NOW AT THE CORRECT DEPTH OF INSERTION TO RECEIVE THE DAD
AKA DENTURE ANCHORAGE DEVICE
VITAL TO PLACE THE FIRST ONE ACCURATELY
THE REST CAN THEN FOLLOW SUIT
AFTER THE PLACEMENT OF ALL FOUR MOSTDIS
FOUR CORRESPONDING THROUGH HOLES ARE TREPHINED INTO THE DENTURE
CHECKED TO MAKE SURE THAT THE DENTURE CAN SEAT IN PASSIVELY OVER THE MOSTIDIS AND MOSTDIDADS
WHITE COLD CURE ACRYLIC IS USED
TEMPORARY BRIDGE MATERIAL CAN BE USED
BEFORE PLACEMENT THE THROUGH HOLES ARE BLOCKED WITH CELLOPHANE TAPE ON THE TEETH SIDE AND COLD CURE IS PLACED ON THE UNDERSIDE ASPECT OF THE THROUGH HOLES
THE MOSTDIDADS ARE SNAPPED ON
OBSERVE HOW THEY SIT SNUGLY FLUSH ONTO THE GUMS
NO COLD CURE CAN THEN FLOW INTO THE DADS
SHIMS ARE NOT REQUIRED
OBSERVE HOW THEY SIT SNUGLY FLUSH ONTO THE GUMS
NO COLD CURE CAN THEN FLOW INTO THE DADS
SHIMS ARE NOT REQUIRED
THE DENTURE IS INSERTED ACCURATELY AND SEATED IN GENTLY
THE PATIENT IS ASKED TO CLOSE AND BITE EVER SO GENTLY IN FULL INTERDIGITATION WITH THE UPPER DENTURE
FIVE MINUTES LATER ONCE THE COLD CURE IS SET, THE DENTURE IS SNAPPED OFF THE MOSTDIS O-BALL HEADS
AFTER TRIMMING OFF THE EXCESS EASILY SINCE THEY ARE WHITE IN COLOUR, THE DENTURE IS READY FOR INSERTION
THE PATIENT TRIPS OFF TO A TRANSFORMED LIFE OF BEING ABLE TO CHEW AND ENJOY THE JOYS OF LIFE AGAIN !
HELLO..... WAIT....
PATIENT IS STILL UNHAPPY BECAUSE
THE UPPER FULL DENTURE IS ALSO LOOSE !!
SO..... WE DULY STABILIZED THE UPPERS TOO
FIRST WE MAKE THE NECESSARY THROUGH HOLES
PROPER PRECISE PLANNING IS REQUIRED
IT IS VITAL TO GET THE FIRST MOSTDI AT ONE OF THE CENTRAL INCISORS
IN EXACTLY WHERE IT SHOULD BE
IN POSITION AND ANGULATION
THE REST IS A BREEZE... JUST FOLLOW THE FIRST
NOTE THAT THE MOSTDI IS PLACED WITH ABOUT 0.5 TO 1.0 mm
OF THE COLLAR ABOVE GUM
THIS IS TO FACILITATE THE TRAPPING OF THE DADS
INTO THE DENTURE DURING COLD CURE
HERE YOU SEE THE MOEKENG IN ACTION
A DEDICATED INSTRUMENT USED
TO PLACE THE DADS PRECISELY
JUST IN CASE IT FLIES OFF OR DISAPPEARS
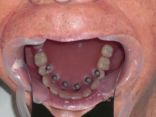
THE DADS ARE ALL IN PLACE
NOTE THAT SHIMS ARE UNNECESSARY
THE DADS ARE DESIGNED TO OBVIATE THE NEED FOR SHIMS
THE DENTURE MUST SEAT PASSIVELY AROUND THE MOSTDIDADS
TEMPORARY CROWN AND BRIDGE COLD CURE IS USED
IT IS WHITE IN COLOUR AND EXCESS CAN THEREFORE
BE IDENTIFIED EASILY AND REMOVED
THE O-RINGS ARE ORTHODONTIC 120 LIGATURE ELASTICS
THIS SOLVES THE PROBLEM OF COST AND AVAILABILITY
MOST DENTISTS WILL HAVE THEM IN THEIR DRAWER
THE O-RINGS CAN BE REMOVED WITH A CURVED PROBE AND INSERTED WITH A PLUGGER
THERE IS A DEDICATED INSTRUMENT CALLED THE KAIFOO
WHICH CAN BE USED TO REMOVE AND INSERT IN A JIFFY
NOW THIS GUY CAN CHOMP OF YOUR FINGER IF YOU ARE NOT CAREFUL !!!
HOWEVER AFTER SEVERAL MONTHS, THE UPPER DENTURE WAS NOT AS STABLE AS HOPED FOR.
THIS IS MAINLY BECAUSE THE UPPER JAW BONE IS SOFTER AND THE IMPLANTS ARE MORE PRONE TO LOOSEN AND GET INFECTED. THIS IS ESPECIALLY SO BECAUSE THE PATIENTS REMOVES THE DENTURE AND PLACES IT IN SEVERAL TIMES A DAY.
THE LOWER JAW BONE IS HARDER AND THEREFORE IMPLANTS ON THE LOWER JAW ALMOST NEVER FAIL.
SO THE PATIENT OPTED TO HAVE HIS UPPER DENTURE FIXED PERMANENTLY AND SO AVOID HAVING TO PULL AND PUSH ON THE IMPLANT EACH TIME HE REMOVES AND REPLACES IT.
THE RESULT IS AS FOLLOWS. HE HAD NO MORE PROBLEMS SINCE AND CLAIMS THAT HE CAN EAT ALMOST ANYTHING.
AND IF YOU CAN AFFORD IT, YOU CAN REPLACE YOUR FIXED ACRYLIC DENTURE WITH A FIXED PORCELAIN BRIDGE.
OBSERVE THE FOLLOWING PICS OF ANOTHER PATIENT.
BOTH TYPES OF MATERIAL SEEM TO WORK QUITE WELL.
THE FIRST MOSTDI WHIZZ PLACED MUST BE EXACTLY RIGHT.
IT IS THE PRIMARY GUIDE FOR ALL THE REST
WHICH MUST BE MORE OR LESS PARALLEL WITH THIS FIRST ONE.
THE PATIENT'S EXISTING DENTURE IS MODIFIED TO ACT AS A TEMPORARY.
OBSERVE THAT THERE ARE TWO O-BALL HEADS IN THE LEFT AND RIGHT CANINE AREA.
TWO DAD AKA DENTURE ANCHORAGE DEVICES WILL BE COLD CURED INTO THE DENTURE SO THAT IT CAN BE SNAPPED ON AND OFF.
THIS IS THE TEMPORARY PROSTHESIS FOR THE PATIENT TO USE
UNTIL THE PERMANENT ROUNDHOUSE PORCELAIN BONDED TO METAL BRIDGE IS CONSTRUCTED AND CEMENTED ON.
SEE THE DENTURE SNAPPED INTO PLACE AS A TEMPORARY MEASURE.
ROUNDHOUSE PFM BRIDGE READY.
NOTE THE CLEANING GROOVES BETWEEN THE ABUTMENT HOLES.
THESE ARE TO FACILITATE FLOSSING OUT OF ALL EXCESS CEMENT AFTER CEMENTATION.
A LITTLE GUMMY BUT THE PATIENT INSISTED HE LIKES IT THAT WAY.
HE MAY BE RIGHT SINCE HIS UPPER LIP IS QUITE LONG.
NICE SMILE AND A LIFE TRANSFORMED.

















Komentar
Posting Komentar