ECTODERMAL DYSPLASIA SEEN SINCE AGE 8 NOW 13. FINISH WITH MINIS?


Mother had been searching all over the country for a dentist willing to treat her son. With some trepedition took it on. First visit refused even to open the mouth. Spoke with the patient and asked this 8year old to come  again. Gave him a small gift. Got these models only on the third visit.






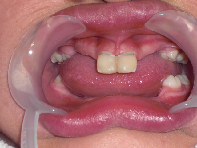
At 10 years old bracketed the two centrals and approximated the two teeth. By now patient has gotten used to visiting us and being comfortable in the dental chair. Parents and child becoming more positive and encouraged as they see the two centrals attaining a more natural position.






Retained the centrals together with a flat wire and composite. What next ?!?!











We raised the bite to a more normal vertical dimension with over crowns on the posterior molars. Observe the edentulous ridges. They have never ever hosted teeth before and cannot then be called alveolar bone.
How are we going to restore this 13 year old's dentition?






A pair of removable acrylic partial dentures with stabilizing stainless steel clasps is not too bad a temporization. In fact the boy was very pleased and grinned from molar to molar. And the parents were almost ecstatic. Are minis/narrow diameters/small diameters the best bet for this boy? Or are we going to place conventionals with the accompanying bone grafts etc. Methinks I will place minis cos I can remove them and reposition them at will as the youngun matures and I have to modify his teeth upwards to match his growth until maturity. Not only that, I will use minis for the final "permanents" or more accurately and realistically speaking even for all our unchallenged patients, for long term use in supporting the necessary crowns and bridges. Minis the best...... simpler..... faster...... cheaper........ stronger .....more versatile!!!!!!
Especially for ectodermal dysplasia may well be the treatment of choice!!

Komentar

Postingan populer dari blog ini

Extra Wide Implants for Immediate Placement: Any Experience with These? | OsseoNews Discussions on Dental Implants

Returning Clinical Judgement From the Lab Back to the Dentist

NARROW DIAMETER DENTAL IMPLANTS